Don't miss a thing from RSNA!

To ensure you receive all future messages, please add our new sender domain, info.rsna.org, to your contacts or safe sender list.

OK

Radiologists Outperformed AI in Identifying Lung Diseases on Chest X-Ray 

Clinical use of deep-learning-based AI tools for diagnosis still in infancy


Head shot of Louis Lind Plesner MD
Plesner

In a study of more than 2,000 chest X-rays, radiologists outperformed AI in accurately identifying the presence and absence of three common lung diseases, according to a study published in Radiology.

“Chest radiography is a common diagnostic tool, but significant training and experience is required to interpret exams correctly,” said lead researcher Louis L. Plesner, MD, resident radiologist and PhD fellow in the Department of Radiology at Herlev and Gentofte Hospital in Copenhagen, Denmark.

While commercially available and FDA-approved AI tools are available to assist radiologists, Dr. Plesner said the clinical use of deep-learning-based AI tools for radiological diagnosis is in its infancy.

“While AI tools are increasingly being approved for use in radiological departments, there is an unmet need to further test them in real-life clinical scenarios,” Dr. Plesner said. “AI tools can assist radiologists in interpreting chest X-rays, but their real-life diagnostic accuracy remains unclear.”
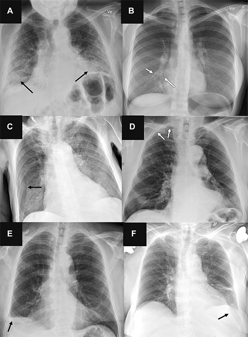
Plesner Radiology Fig 6 AI Chest X-ray

Representative chest radiographs in six patients show (A, C, E) false-positive findings and (B, D, F) false-negative findings as identified by the artificial intelligence (AI) tools. These examples were all correctly classified by the clinical radiology reports. (A) Posteroanterior chest radiograph in a 71-year-old male patient who underwent examination due to progression of dyspnea shows bilateral fibrosis (arrows), which was misclassified as airspace disease by all four AI tools. (B) Posteroanterior chest radiograph in a 31-year-old female patient referred for radiography due to month-long coughing shows subtle airspace opacity at the right cardiac border (arrows), which was missed by all AI tools. (C) Anteroposterior chest radiograph in a 78-year-old male patient referred after placement of a central venous catheter shows a skin fold on the right side (arrow), which was misclassified as pneumothorax by all AI tools. (D) Posteroanterior chest radiograph in a 78-year-old male patient referred to rule out pneumothorax shows very subtle apical right-sided pneumothorax (arrows), which was missed by all AI tools except for vendor B (with the high sensitivity threshold). (E) Posteroanterior chest radiograph in a 72-year-old male patient referred for radiography without a specified reason shows chronic rounding of the costophrenic angle (arrow), which was mistaken for pleural effusion by all AI tools and verified according to the reference standard in a corresponding chest CT image. (F) Anteroposterior chest radiograph in a 76-year-old female patient referred for radiography due to suspicion of congestion and/or pneumonia shows a very subtle left-sided pleural effusion (arrow), which was missed by all three AI tools that were capable of analyzing anteroposterior chest radiographs for pleural effusion.

https://doi.org/10.1148/radiol.231236 ©RSNA 2023

 

Dr. Plesner and a team of researchers compared the performance of four commercially available AI tools with a pool of 72 thoracic radiologists in interpreting 2,040 consecutive adult chest X-rays taken over a two-year period at four Danish hospitals in 2020.

The median age of the patient group was 72 years. Of the sample chest X-rays, 669 (32.8%) had at least one target finding.

The chest X-rays were assessed for three common findings: airspace disease, pneumothorax and pleural effusion.

AI tools achieved sensitivity rates ranging from 72% to 91% for airspace disease, 63% to 90% for pneumothorax, and 62% to 95% for pleural effusion.

AI Not Ready to Make Individual Diagnoses Autonomously

“The AI tools showed moderate to a high sensitivity comparable to radiologists for detecting airspace disease, pneumothorax and pleural effusion on chest X-rays,” Dr. Plesner said. “However, they produced more false-positive results (predicting disease when none was present) than the radiologists, and their performance decreased when multiple findings were present and for smaller targets.”

For pneumothorax, positive predictive values for the AI systems ranged between 56% and 86%, compared to 96% for the radiologists.

“AI performed worst at identifying airspace disease, with positive predictive values ranging between 40 and 50%,” Dr. Plesner said. “In this difficult and elderly patient sample, the AI predicted airspace disease where none was present five to six out of 10 times. You cannot have an AI system working on its own at that rate.”

According to Dr. Plesner, the goal of radiologists is to balance the ability of finding and excluding disease, avoiding both significant overlooked diseases and overdiagnosis.

“AI systems seem very good at finding disease, but they aren’t as good as radiologists at identifying the absence of disease, especially when the chest X-rays are complex,” he said. “Too many false-positive diagnoses would result in unnecessary imaging, radiation exposure and increased costs.”

Listen as Dr. Plesner discusses his research.

Dr. Plesner said most studies generally tend to evaluate the ability of AI to determine the presence or absence of a single disease, which is a much easier task than real-life scenarios where patients present with multiple diseases.

“In many prior studies claiming AI superiority over radiologists, the radiologists reviewed only the image without access to the patient’s clinical history and previous imaging studies,” he said. “In everyday practice, a radiologist’s interpretation of an imaging exam is a synthesis of these three data points. We speculate that the next generation of AI tools could become significantly more powerful if capable of this synthesis as well, but no such systems exist yet.”

“Our study demonstrates that radiologists generally outperform AI in real-life scenarios where there is a wide variety of patients,” he said. “While an AI system is effective at identifying normal chest X-rays, AI should not be autonomous for making diagnoses.”

Dr. Plesner noted that these AI tools could boost radiologists’ confidence in their diagnoses by providing a second look at chest X-rays.

For More Information

Access the Radiology study, “Commercially Available Chest Radiograph AI Tools for Detecting Airspace Disease, Pneumothorax, and Pleural Effusion,” and the related editorial, “Clinical Performance of Current-Generation AI Tools for Chest Radiographs.”

Read previous RSNA News stories about AI in chest imaging: