Axillary Lymphadenopathy May Last up to 10 Weeks After Second COVID-19 Vaccine
Retrospective Radiology study analyzes patient data from a single tertiary medical center

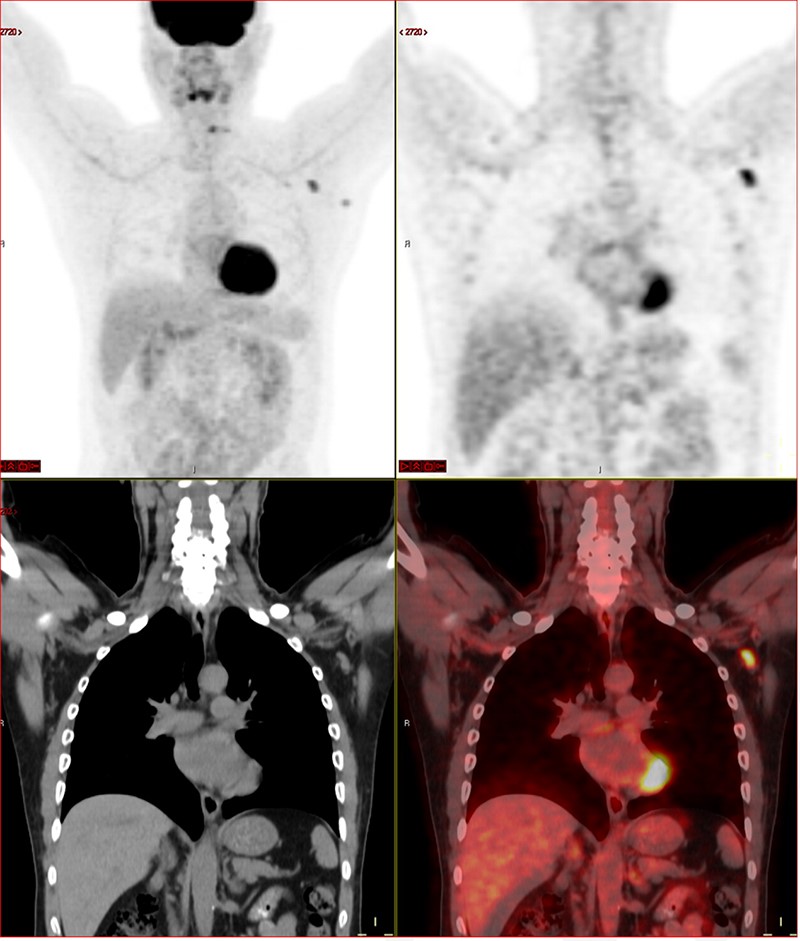
Studies including recent Radiology research have reported the presence of FDG-avid reactive axillary lymphadenopathy on PET/CT in patients who received their second mRNA-based COVID-19 vaccination dose.
In response, Radiology recently published multidisciplinary recommendations regarding post-vaccine associated axillary lymphadenopathy and radiology imaging to help medical communities respond and raise awareness among patients. The broad-based recommendations also include cancer patients.
But little was known about the duration and prevalence of axillary lymph nodes after the second COVID-19 vaccine.
A new retrospective Radiology research letter has determined that FDG uptake in axillary lymphadenopathy persisted seven to 10 weeks after the second mRNA-based COVID-19 vaccine. Pfizer and Moderna are two examples of this type of vaccine.
The lead author of the retrospective study, Yael Eshet, MD, MSc, a radiologist at Israel’s Chaim Sheba Medical Center at Tel HaShomer, said radiologists quickly began seeing axillary lymphadenopathy on post mRNA-based COVID-19 vaccine patients in her hospital.
“Following the rapid rollout of the Pfizer-BioNTech vaccine in Israel, we almost immediately started seeing avid axillary lymph node FDG uptake in a large portion of our PET/CT patients,” Dr. Eshet said.
Although Dr. Eshet was encouraged to see the immune system at work, she and her colleagues soon realized that the picture was slightly different than what they were used to seeing in patients after a seasonal flu shot.
“The uptake values were much higher than we were used to — sometimes simulating underlying pathologies, such as breast cancer or lymphoma,” she said.
It also became apparent that the uptake was more persistent than previously reported. Seeking answers, Dr. Eshet and her colleagues conducted a study on the prevalence of increased FDG PET/CT axillary lymph node uptake beyond six weeks after the second COVID-19 vaccination.
Uptake Lasts Seven to Ten Weeks After Second Dose
Dr. Eshet and colleagues analyzed prospectively collected data in a single tertiary medical center in a cohort of 169 patients (median age, 65 years; 49% female), scanned a median of 52 days after the second vaccination.
Researchers analyzed data for the presence of FDG-avid axillary lymphadenopathy on the same side of the body as the injection site at least 42 days after patients’ second COVID-19 vaccine dose. Bilateral axillary lymph node uptake was then measured by three board-certified radiologists.
“While FDG uptake noted in seasonal flu shots usually disappears within six weeks, our study found increased axillary lymph node uptake in 29% of all vaccinated patients seven to 10 weeks after receiving the second dose,” Dr. Eshet said.
According to Dr. Eshet, these results may be related to several factors. For instance, the entire study population received a novel mRNA COVID-19 vaccination. They were also given a second COVID-19 vaccine three weeks after the first, something that is not required for influenza vaccinations.
“This raises the question about whether the persistent uptake occurs due to the actual immune response or whether the boost given by the second COVID-19 shot enhances that response,” Dr. Eshet said. “If the latter is true, then we may not see prolonged FDG uptakes in patients receiving single-dose vaccinations.”
Dr. Eshet also notes that a stronger immunological response could also be attributed to a lack of previous exposure to SARS-CoV-2 (severe acute respiratory syndrome coronavirus 2).
“If this is true, we will likely see prolonged FDG uptakes even in patients receiving a single-shot vaccine,” she said. “Future information from other research groups will shed light on this conundrum, hopefully soon.”
Until more is known about prolonged FDG uptakes, radiologists should be aware of the issue and try to avoid reporting axillary lymph node pathology for as long as six to 10 weeks post vaccination, according to the Radiology recommendations.
“We will soon know exactly how long these post-COVID-19 vaccination FDG uptakes last, which will allow radiologists to better inform physicians on the correct way of reporting FDG axillary lymph nodes,” Dr. Eshet concluded.
For More Information
Access the Radiology research letter, “Prevalence of Increased FDG PET/CT Axillary Lymph Node Uptake Beyond 6 Weeks after mRNA COVID-19 Vaccination.”
Access the Radiology Case Series, "Lymphadenopathy in COVID-19 Vaccine Recipients: Diagnostic Dilemma in Oncology Patients."
Access the Radiology Special Report, "Multidisciplinary Recommendations Regarding Post-Vaccine Adenopathy and Radiologic Imaging: Radiology Scientific Expert Panel."
Access the Radiology Imaging Cancer editorial, “COVID-19 Vaccination-Related Lymphadenopathy: What To Be Aware Of.”
