Don't miss a thing from RSNA!

To ensure you receive all future messages, please add our new sender domain, info.rsna.org, to your contacts or safe sender list.

OK

Radiotherapy Offers New Treatment Option for Liver Cancer

Early-stage HCC patients see comparable survival outcomes with less invasive treatment option


Salem
Salem

A novel technique that delivers high doses of radiation to tumors while sparing the surrounding normal tissue shows promise as a curative treatment option for patients with early-stage hepatocellular carcinoma (HCC), according to a new study in Radiology.

Radiation segmentectomy (RS) is a targeted form of radioembolization using the radioisotope yttrium-90 (Y90) to destroy tumors. The isotope is embedded into glass microspheres that are delivered via catheter into the liver. Using cone beam CT, interventional radiologists gain a detailed view of the liver vasculature and can focus delivery of the Y90 to the relevant liver segment. The Y90 comes to rest at the tumor site, delivering its radioactive effect while sparing much of the surrounding healthy tissue.

“Cone beam CT has revolutionized our ability to perform segmental injections isolated to very small tumors, sparing the majority of normal tissue,” said study senior author Riad Salem, MD, chief of vascular interventional radiology in the Department of Radiology at the Northwestern University Feinberg School of Medicine in Chicago. “Before cone beam CT, we had the ability to focus radiation, but not with this level of accuracy.”

Dr. Salem and colleagues studied long-term outcomes in 70 early-stage HCC patients who had undergone RS between 2003 and 2016. They analyzed the patients’ responses to treatment based on two commonly used sets of necrosis criteria: the World Health Organization (WHO) and the European Association for the Study of the Liver (EASL).

Based on EASL criteria, 90 percent of patients showed positive response to the therapy, of which 59 percent showed complete response. Based on WHO criteria, 71 percent achieved positive response, of which 16 percent achieved complete response.

Almost three-quarters of patients had no progression of cancer in the target tumor five years after treatment. Median overall survival was 6.7 years, and one-, three- and five-year survival probabilities were 98 percent, 66 percent and 57 percent, respectively. One-, three- and five-year overall survival probability was 100 percent, 82 percent and 75 percent in patients with a baseline tumor size of three centimeters or less.

RS controlled the target tumor, slowed the time to disease progression and improved survival outcomes at rates comparable to radiofrequency ablation, surgery and transplantation for early-stage HCC patients, common treatment options for HCC. However, many patients are not candidates for these therapies due to comorbidities.

“The results show that we are able to impart curative outcomes to these patients,” Dr. Salem said. “Our numbers with radiation segmentectomy match or outperform those of other curative treatments in terms of tumor control, survival rate and recurrence.”

The researchers continue to follow the patients from the study group as they work on ways to optimize the treatment.

“We want to see these outcomes validated in patients over the longer term,” Dr. Salem said. “We also want to minimize the time from clinic visit to treatment, and fine-tune dosimetry so that we can find the optimal dose that will kill the tumor. In the right patient setting, RS can be considered curative.”

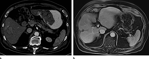
Images show (a) contrast material–enhanced CT scan before yttrium 90 of an 87-year-old man with 4-cm hepatocellular carcinoma in right lobe
Images show (a) contrast material–enhanced CT scan before yttrium 90 of an 87-year-old man with 4-cm hepatocellular carcinoma in right lobe. (b) Contrast-enhanced MR image at subsequent 9-year follow-up (now aged 96 years) shows complete necrosis.

Web Extras