Don't miss a thing from RSNA!

To ensure you receive all future messages, please add our new sender domain, info.rsna.org, to your contacts or safe sender list.

OK

MRI Helps Predict Preterm Birth


Masselli
Masselli

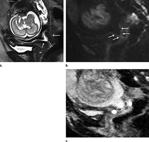
Cervical subglandular apparent diffusion coefficient (ADC) at MRI is associated with impending preterm birth in patients with a short sonographic cervix, according to new research published online in the journal, Radiology.

Gabriele Masselli, M.D., from Umberto I Hospital Sapienza University in Rome, Italy, and colleagues used pelvic 1.5-T MRI to study 30 pregnant women who had a sonographically short cervix. ADC values of the subglandular and stromal cervix, and the difference between both, were correlated to the interval to delivery.

Eight (27 percent) of the 30 patients delivered within six or seven days after MRI, and 22 (73 percent) of them delivered between 18 and 89 days after imaging. Overall, 19 (63 percent) of the patients experienced preterm delivery after less than 32 weeks of gestation.

“Our results indicate that a high ADC recorded at the level of the subglandular area of the cervix is associated with imminent delivery in asymptomatic patients who have a short cervix. This can be particularly useful in the acute care of patients who have a sonographically short cervix and positive fetal fibronectin test results in the early third trimester of pregnancy,” the authors write.

Axial statistical maps show areas of reduced thalamic functional connectivity (FC) in patients with MS compared with that in healthy subjects.
Figure 1. Axial statistical maps show areas of reduced thalamic functional connectivity (FC) in patients with MS compared with that in healthy subjects. Patients exhibited significantly lower FC in clusters located in the cerebellum, frontal and occipital cortices, caudate nucleus, and thalamus, bilaterally. 
Graph shows mean cognitive test scores at baseline and follow-up in the intervention group (IG) and wait-list group (WLG).
Figure 2. Graph shows mean cognitive test scores at baseline and follow-up in the intervention group (IG) and wait-list group (WLG). Bars indicate raw scores for cognitive test results. Paired t test P values are reported only for significant differences between baseline and follow-up.
Axial functional connectivity (FC) maps show changes in thalamic FC after 8 weeks in both groups of patients with MS. Areas of increased FC are represented in red, areas of reduced FC in blue.
Figure 3. Axial functional connectivity (FC) maps show changes in thalamic FC after 8 weeks in both groups of patients with MS. Areas of increased FC are represented in red, areas of reduced FC in blue. A, Intervention group shows increased FC in occipital, medial, and lateral parietal and posterior cingulate cortices, bilaterally; decreased FC in vermis and left dorsal-lateral prefrontal cortex. B, Wait-list group shows increased FC in frontal, occipital, and medial parietal cortices, bilaterally; cerebellum; and right temporal lobe. 

Web Extras