Breast MRI After Mammography May Identify Additional Aggressive Cancers
Multi-centric cancer detected at breast MR imaging (MRI) that is occult at mammography appears to represent a larger tumor burden in approximately one-quarter of patients and can upstage the diagnosis, resulting in potential changes in treatment, according to new research published online in Radiology.
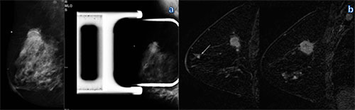
Chiara Iacconi, M.D., from the of Breast Unit at USL1 Massa-Carrara in Carrara, Italy, and colleagues reviewed records from 2001 to 2011 that yielded 2,021 patients with newly diagnosed breast cancer who underwent biopsy after preoperative MRI. Of those patients, 285 (14 percent) had additional cancer detected at MRI that was occult at mammography.
In 73 patients (3.6 percent), MRI identified 87 cancers in different quadrants than the known index cancer, constituting the basis of the study. In 62 of 73 patients (85 percent; 95 percent confidence interval [CI]: 75, 92), one additional cancer was found, and in 11 of 73 (15 percent; 95 percent CI: 8, 25), multiple additional cancers were found. A x2 test with adjustment for multiple lesions was used to examine whether MR imaging and pathologic features differ between the index lesion and additional multi-centric lesions seen only at MRI.
Researchers found known index cancers were more likely to be invasive than MRI-detected multi-centric cancers (88 percent vs. 76 percent, P = .023). Ductal carcinoma in situ (21 of 87 lesions [24 percent]; 95 percent CI: 15, 36) represented a minority of additional MRI–detected multi-centric cancers. Overall, the size of MRI-detected multicentric invasive cancers (median, 0.6 cm; range, 0.1-6.3 cm) was smaller than that of the index cancer (median, 1.2 cm; range, 0.05–7.0 cm; P = .023), although 17 of 73 (23 percent) (95 percent CI: 14, 35) patients had larger MRI–detected multi-centric cancers than the known index lesion, and 18 of 73 (25 percent) (95 percent CI: 15, 36) had MRI–detected multi-centric cancers larger than 1 cm.
MRI–detected multi-centric cancers and index cancers differed in histologic characteristics, invasiveness, and grade in 27 of 73 (37 percent) patients (95 percent CI: 26, 49). In four of 73 (5 percent) patients (95 percent CI: 2, 13), MRI–detected multi-centric cancers were potentially more biologically relevant because of the presence of unsuspected invasion or a higher grade.
“Having a majority of patients undergo potential overtreatment versus a minority who may beundertreated is at the heart of the controversy surrounding the use of breast MR imaging,” the authors write. “Patient decisions for diagnosis and treatment may depend on the relative weight placed on either of these options.”


Web Extras
- Access the study, "Multicentric Cancer Detected at Breast MR Imaging and Not at Mammography: Important or Not?" at pubs.rsna.org/doi/full/10.1148/radiol.2015150796